治療内容
歯周病とは
虫歯が歯そのものの疾患であるのに対し、歯周病は歯の周りの組織(歯根膜、歯茎、歯槽骨など)の疾患です。
最初は歯肉の軽度の出血や腫れにはじまり徐々に進行し、歯が少しずつグラグラしはじめ最終的には抜け落ちてしまう恐い病気です。

なぜ歯周病になるのか
歯周組織は歯肉(歯ぐき)と歯を支える骨組織(歯槽骨)、歯の根元をおおうセメント質、歯根と歯槽骨をつなぐ歯根膜からなり、歯を正しい位置にしっかり付着・固定するための強固な構造を備えています。
歯磨きが不十分ですと、歯と歯肉の間のプラーク(歯垢)により、炎症が引き起こされます。
これが歯周病の始まりです。
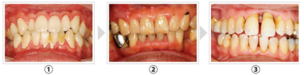
歯周病の治療について
- ブラッシング
- 現状の歯磨きの仕方をよりよくするために歯磨きの指導を行います。
- スケーリング(歯石除去)
- 歯石はプラークが石灰化したもので歯に強く付着しています。
超音波スケーラーを使用して取り除きます。 - 歯周外科
- 噛めない状態も、噛める状態に近づけていきます。
超音波スケーラーを使用して取り除きます。
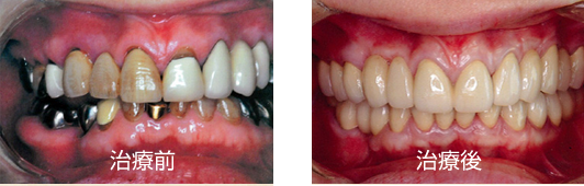
早期治療をしましょう
大切な歯を歯周病から守るには、早期治療が重要です。少しでも歯ぐきに異常を感じたら、早目にご相談ください。












