治療内容
素敵な笑顔、輝く白い歯、美しい歯並びを実現しませんか?
審美歯科とは、従来の虫歯や歯周病の治療など、通常の歯科で行っている治療に「美」という視点をプラスした歯科治療です。歯を白く綺麗にしたり、歯並びを綺麗にしたり、歯ぐきの色を美しいピンク色に改善するなど、健康的で美しい口元を作ることを目的としています。
しかし、審美歯科は見せかけの美しさだけを求めたものであってはいけません。審美歯科治療により健康美・美しい笑顔を手に入れ、自分に自信を持つことにより、人生をより豊かにし、可能性を広げてくれるのものでなくてはいけません。
歯を削らずに歯の色を白く綺麗に美しくするには、歯の表面の色素の除去・歯石の除去を行う‘クリーニング’と歯の色そのものを白くする‘ホワイトニング’があります。
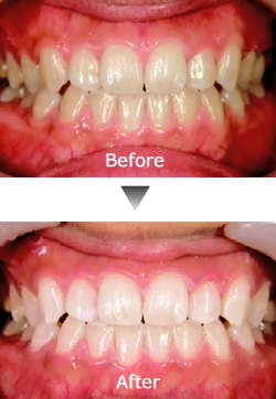
しかし、上記の‘クリーニング’と‘ホワイトニング’では歯並びまで綺麗にすることは出来ません。歯並びを綺麗にするためには‘矯正’か‘セラミックのかぶせ物(オールセラミックやラミネートべニアなど)による治療になります。
ラミネートベニア
歯の表面(0.5~0.7mm、エナメル質の範囲内)を薄く削って、セラミック製の薄いプレートを貼り付ける治療方法です。2~3回の来院で終了してしまい、たいへん美しく自然に仕上がる治療法です。そのため、芸能人やモデルの方が多く利用する治療方法です。歯の隙間を埋めたり、歯の形を変えたりすることもできます。
歯の色が気になる、前歯に隙間があって気になる、前歯の形をもう少しバランスよくしたい、少しだけ歯並びを直したいけれど時間がかかるのは嫌だ、などと悩まれている方に適しています。

メタルフリー
これまで、歯科治療には金属を用いた歯科材料が一般的に使用されてきました。現在も健康保険の範囲内で金属を使用した銀を用いた治療を選択される方が多いと思います。
しかし近年「メタルに劣らない機能でより身体に優しい、さらに見た目に美しい」歯科材料が発達してきました。
それがジルコニアやセラミックといった素材です。
これらは見た目にも人間の自然な歯の色に近く、硬さも本物の歯に近いので健康的にも優れているのです。
- なぜ、金属を一切使わないの?
- 金属を用いると、金属アレルギーを引き起こす原因になる場合があるのです。
口腔内の唾液によって、長年で金属が腐食し、銀イオンが露出する事があります。その結果金属アレルギーを引き起こす場合があります。 - 二次的な虫歯
- 金属は人間の歯と比べると非常に硬い素材です。
ものを噛む時には本物の歯に硬い歯が重なりますから、毎日噛み続けると健康な本物の歯にひびが入ったり、傷が出来たりします。そこから新たな虫歯が進行する事もあります。
このような理由で、金属を使用しない「メタルフリー」は健康面でも、審美面でも優れた治療と言えます。
定期的なクリーニングは必要ですが、二次的な虫歯の繰り返し治療は防ぐことができ、長期的な保存も可能になります。
詰めもの(インレー)
歯ピアプレス・セラミックインレー
![]() |
インレーに求められる強度と透明度を併せ持ったプレスセラミックが新発売されたことで金属の詰めもの(インレー)から、セラミックインレーに詰め替えが可能となりました。天然歯の硬さに最も近いセラミックを使用しています。 |
|---|---|
| 色の合わせやすさ | ★★★★☆ |
| 色の変りにくさ | ★★★★☆ |
| 歯ぐきとの相性の良さ | ★★★★☆ |
| 壊れにくさ | ★★★★☆ |
ラミネート
ポーセレンラミネートベニア PLV メタルフリー
![]() |
歯の表面に 少ない形成量で 前歯部の色調や形態、歯の間の隙間などの改善が 可能です。形成した部分に歯の色をしたネイルチップのような薄い歯を貼り付けます。ネイルチップと違い一度つけたら外せません。材料はセラミック(陶材)歯科用接着剤の 進歩により 確立してきた 修復法です。 |
|---|---|
| 色の合わせやすさ | ★★★★★ |
| 色の変りにくさ | ★★★★★ |
| 歯ぐきとの相性の良さ | ★★★★★ |
| 壊れにくさ | ★★★☆☆ |
クラウン・ブリッジ
ハイブリッドレジン HB メタルフレーム付き
![]() |
メタルフレームの前面にセラミックとレジンの中間素材を裏装したタイプです。硬質レジンよりも色調の透明感・強度共に改善されているハイブリッド素材を使用しています。ただし、レジンに近い素材なので、数年ほどでツヤがなくなってきてしまいますので、場合によっては作りかえが必要となります。 |
|---|---|
| 色の合わせやすさ | ★★★☆☆ |
| 色の変りにくさ | ★★★☆☆ |
| 歯ぐきとの相性の良さ | ★★★☆☆ |
| 壊れにくさ | ★★★★☆ |
メタルボンドクラウン MB
![]() |
メタルフレーム(金属キャップ)の上に、セラミック(陶材)を強固に焼き付けて形成したものです。見た目、強度共に信頼のおける逸品でありますが、金属を裏うちしている関係上、色調再現性や透明感・明るさは、オールセラミックにやや劣ります。現状、自費(保険適用外)を代表されるロングセラーの人工の歯です。 |
|---|---|
| 色の合わせやすさ | ★★★★★ |
| 色の変りにくさ | ★★★★★ |
| 歯ぐきとの相性の良さ | ★★★★☆ |
| 壊れにくさ | ★★★★★ |
歯ピアクラウンオールセラミック AC メタルフリー(CAD/CAMシステム)
![]() |
コンピューター制御で作成するクラウンです。キュービックジルコニアを母体としたセラミックで成形されています。金属を使用していないので、金属が溶け出すことによる、歯茎の変色や金属アレルギーの心配がなく、からだにやさしい材料です。ナチュラルな色調再現が可能です。 |
|---|---|
| 色の合わせやすさ | ★★★★★ |
| 色の変りにくさ | ★★★★★ |
| 歯ぐきとの相性の良さ | ★★★★★ |
| 壊れにくさ | ★★★★☆ |
インプラント
Cement retain (セメント固定タイプ)
![]() |
メリット
リスク |
|---|
ScrewRetain (スクリュー固定タイプ)
![]() |
|
|---|
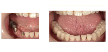
インプラント
![]() |
歯の抜けた場所に、人工の歯根を埋め込み顎の骨に固定した後、人工の歯を上から装着する治療方法です。入れ歯は歯ぐきにかぶせて乗せただけである為、口の中で動きやすく、不安定で違和感を強く感じる場合がありますが、インプラントにすると顎の骨に直接固定されて支えられ、人工の歯で噛む振動がそのまま骨にも伝わり、身体の一部のように感じることができます。 |
|---|
インプラントアバットメント(支台柱)のバリエーション
最先端のCAD/CAMを用いて、各メーカーのインプラントに対応するアバットメントをご提供させていただきます 生体親和性が高い(チタン&ジルコニア)
対応メーカー: Branemark Replace
|
補綴修復のバリエーション(臨床例の紹介)
![]() |
|
|---|
総義歯・部分義歯
コンフォート義歯
![]() |
コンフォートは、硬い入れ歯の裏面を生体用シリコーンというクッションで覆う、全く新しい入れ歯の技術です。生体用シリコーンの弾性が、入れ歯でグッと噛んだときの歯ぐきにかかる負担をやわらげ、驚くほどの吸着力を発揮。 |
|---|
ノンクラスプ義歯
![]() |
金属の金具を使用しない入れ歯です。薄くて丈夫な素材を使用して製作するため、見た目にも入れ歯であることがわかりにくく、違和感が軽減できます。また、一部分だけに目立たないように金属を使用した、より強くかめる頑丈なタイプもあります。 |
|---|
軟性裏装義歯
![]() |
硬い入れ歯の歯ぐきにあたる面を、歯ぐきに似た柔らかさの素材に置き換えます。今まで痛くてかめなかったストレスを軽減できます。 |
|---|
金属床義歯とは
プラスチックの部分を金属に置き換えた入れ歯です。金属にすることで厚みを最小限に抑えることができるため、保険適用の入れ歯に比べて違和感が少なくなります。また、熱い・冷たいなどの温度も伝わりやすいため、食事もおいしく感じることができます。使用する金属によって、特徴があります。 |
金属床(コバルト)
![]() |
〜丈夫さで実績充分〜金属床の中で長年にわたり愛用されいるもっともポピュラーな入れ歯です。保険の入れ歯比べ約3分の1の薄さで、強度も高く長い期間使用できます。 |
|---|
金属床(チタン)
![]() |
〜最新の材質 軽くて丈夫です〜チタンは医療用として人工骨やペースメーカーなどに用いられ、体内に埋め込むことができるほどの安全性を持ちます。金属アレルギー等の心配が少ない金属として高く評価されています。 |
|---|
アタッチメント義歯
アタッチメント義歯
![]() |
アタッチメント義歯とは、差し歯と入れ歯に雄部・雌部の装置をそれぞれ固定し、その結合を利用する入れ歯です。金属のバネを使用しないので、見た目も自然でかつ美しく仕上がります。 |
|---|
コーヌス義歯
![]() |
コーヌス義歯とは、茶筒の原理(摩擦抵抗)を応用した入れ歯です。残っている歯を削り、そこに金属で作った内冠をかぶせます。その内冠にぴったりと合う外冠を作り、入れ歯と一体化して使います。この場合、金属のバネを使用しないので、見た目にも自然に仕上がります。 |
|---|
ミリング義歯
![]() |
ミリング義歯とは、茶筒の原理(摩擦抵抗)や木工の継ぎ手に似た構造を応用した入れ歯です。残っている歯を削り、そこにぴったりとはめ込む金属をハンドメイドで作ります。保険の適用の入れ歯に比べて安定感に優れ、金属のバネも無いため、見た目にも自然に仕上がります。 |
|---|
磁性アタッチメント義歯
![]() |
磁石の力を応用した入れ歯です。残っている歯の根と入れ歯の中にそれぞれ磁石を取り付けることで、根と入れ歯の磁気的な吸引力から安定した入れ歯になります。取り外しも簡単ですし、金属のバネが付いている入れ歯よりも自然に仕上がります。 |
|---|


































